(바이러스) Transmissible spongiform encephalopathies agent
-
- 작성자
- 최고관리자
-
- 조회
- 492
-
- 작성일
- 2020-02-10
(바이러스) Transmissible spongiform encephalopathies agent

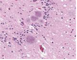
typical amyloid plaques found in a case of variant Creutzfeldt-Jakob disease (vCJD)
출처:http://phil.cdc.gov/phil/details.asp ID#10130, CDC/Dr. Fred Murphy; Sylvia Whitfield
• 위 험 군 :제 3위험군
• 국내범주 :고위험병원체(BSE, vCJD prion만 해당), 생물작용제(BSE만 해당)
• 특 성 :직경 100nm 이하, prion, 핵산이 검출되지 않으며 불수용성인 당단백의 집합체로 구성
병원성 및 감염증상
- 잠복기 : 1~30년
- 전염성 해면뇌병증 프리온은 사람에서 쿠루(Kuru), 크로이츠펠트 야콥병(CJD), 게르스트만 스트로이슬러 샤인케르증후군(GSS, GerstmannSträusslerScheinker syndrome), 치명적 가족 불명증(FFI, Fatal familial insomnia) 등을 유발하고, 동물에서는 소의 해면뇌병증(광우병, BSE), 사슴류 만성 소모성 질환(CWD, Chronic Wasting Disease), 전염성 밍크 뇌병증(transmissible mink encephalopathy)등을 유발함.
- 크로이츠펠트 야콥병(CJD)은 네가지 형태(sporadic, familial, iatrogenic, variant)로 분류할 수 있는데 이 중 산발 크로이츠펠트 야콥병(sporadic CJD)가 가장 흔하고 전체의 85%를 차지하며, 국내에서 발생한 CJD는 모두 산발 크로이츠펠트 야콥병(sCJD)으로 확인됨.
- 잠복기간이 긴 진행성, 퇴행성 신경성 질환을 일으키며, 증상이 일단 시작되면 급속히 진행하여 사망에 이름. 해면뇌병증은 근육 조절의 상실, 떨림, 간헐적 근육경련과 진전, 운동조정 상실, 급속한 진행성 치매 사망 등의 특징을 보임.
치료 및 백신
- 치료 : 쿠루 및 CJD에 대한 치료법 없음
- 백신 : -
실험실 생물안전정보
- 감염위해요소
- 감염 경로
- 일반 감염경로:CJD는 주입, 감염조직의 이식, 감염된 수술도구에 의해 주로 전염되며, 음식을 통해서 전파될 가능성 있음. 쿠루는 뉴기니 부족의 인육을 먹는 풍습과 연관되어 있으며, 감염된 음식 섭취 및 오염된 조직 다루는 과정에서 결막 또는 피부 상처 통한 감염. vCJD는 오염된 소고기 섭취 시 발병됨.
- 실험자 감염경로: 오염된 실험실 및 배양액 등 감염성 물질에 직접적 또는 간접적으로 피부 및 점막에 접촉, 오염된 날카로운 물질에 찔림. - 감염량 : -
- 숙주:사람(쿠루, CJD, vCJD), 노새, 사슴, 고라니(만성 소모성질환), 소(BSE), 밍크(전염성 밍크 뇌병증)
- 실험실 획득감염:-
- 생물안전밀폐등급
- BL3 권장:배양 등 병원체를 직접 취급하는 실험
- ABL3 권장:동물 감염실험 및 감염동물 해부 등
- 개인보호장비 : 반드시 앞트임이 없는 실험복과 장갑, 감염성 물질이 튈 우려가 있을 경우에는 안면보호장비 착용. 감염성 물질 취급 실험은 모두 생물안전작업대 내에서 실험 수행. 주사바늘 및 뾰족한 실험도구 사용 자제.
- 소독 및 불활성화 : 135℃에서 1시간 이상 고압증기멸균은 유용하나, 5% hypochlorite solution, 1N NaOH 등의 화학제로는 충분한 효과를 얻을 수 없어 고압증기멸균 전후 보조적으로 사용(1N NaOH 30분 침적 후 121℃에서 1시간 고압증기멸균 권장).
- 숙주 외 환경저항성:프리온은 면역반응을 일으키지 않으며, 80℃ 이상의 고열, 멸균, formaldehyde와 같은 살균제, 자외선 등에 강한 저항성을 지님.
- 폐기물 처리:감염성물질을 취급한 모든 폐기물은 고압증기멸균 등의 처리 후 의료폐기물로 처리
