(바이러스) South American hemorrhagic fever virus
-
- 작성자
- 최고관리자
-
- 조회
- 394
-
- 작성일
- 2020-02-10
(바이러스) South American hemorrhagic fever virus

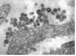
Machupo virus
출처:http://phil.cdc.gov/phil/details.asp ID#1869, CDC/Dr. Fred Murphy;Sylvia Whitfield
• 위 험 군 :제 4위험군
• 국내범주 :고위험병원체, 생물작용제, 전략물자통제병원체
• 특 성 :Arenaviridae과, Mammarenavirus속, (-)ssRNA 바이러스, 피막 있음
병원성 및 감염증상
- 잠복기 : 일반적으로 2~16일
- 바이러스성 출혈열을 유발함.
- 감염 시 열, 권태감, 근육통, 요통 등의 증세가 3~4일간 지속되며, 잇몸사이에 출혈이 나타남.
- 감염 1~2주 후 대부분의 환자들이 회복하지만 일부는 피부, 내장기관 및 근육 등의 출혈증, 정신착란, 모세혈관 누출 증후군, 발작 등의 증상과 혼수상태에 빠질 수 있음.
- 치사율은 30% 정도임.
치료 및 백신
- 치료 : Junin, Machupo, Guanarito virus 감염의 경우 초기에 ribavirin을 이용할 수 있으며, Junin virus감염 시 Human immune plasma 이용 가능
- 백신 : Junin, Machupo virus는 약독화된 생백신 Candid #1 vaccine 있으나, Guanarito, Sabia는 국제적으로 허가된 백신이 없음
실험실 생물안전정보
- 감염위해요소
- 감염 경로
- 일반 감염경로:감염된 설치류에게 물리거나 감염된 설치류의 타액, 분비물, 혈액 등의 직접적 접촉 또는 에어로졸 흡입에 의해 감염됨. Machupo virus의 경우 사람 간 2차 감염, 감염성 에어로졸 및 오염된 의료장비에 의한 병원 내 감염이 보고됨.
- 실험자 감염경로 : 배양액 등 감염성 물질 취급 시 발생하는 에어로졸 흡입, 손상된 피부에 노출 및 날카로운 도구에 찔림, 감염동물 실험 시 감염 가능 - 감염량 : -
- 숙주:생쥐, 들쥐, 다람쥐 등 설치류, 사람
- 실험실 획득감염:
- 1994년 브라질의 바이러스 학자가 Sabia virus에 감염된 Vero cell을 원심분리하는 도중 용기가 손상되어, 원심분리기가 회전하는 동안 공기전파로 인한 감염됨.
(출처 : Treatment of a Laboratoryacquired Sabia virus Infection. N Engl J Med 1995;333:194-196)
-1994년 Santa Cruz에서 실험실 연구원이 감염환자 혈액을 취급 중 원심분리기에서 시험관이 깨지는 사고로 인해 감염된 사례가 있음.
(출처 : International Notes Bolivian Hemorrhagic Fever-El Beni Department, Bolivia, 1994. MMWR, December 23, 1994/43(50);943-946)
- 생물안전밀폐등급
- BL4 권장:진단을 목적으로 임상검체 시험 검사, 균 배양 등 병원체를 직접 취급하는 실험 등
- ABL4 권장:동물 감염실험 및 감염동물 해부 등
- 개인보호장비 : 평상복을 완전히 덮는 전신보호복과 덧신 착용 후 추가적인 보호복 또는 필요시 양압복 착용. 에어로졸이 발생하는 조작이나 고농도, 혹은 대용량 배양액 조작은 생물안전작업대 내에서 작업할 것을 권장, 주사바늘 및 뾰족한 실험도구 사용 자제
- 소독 및 불활성화 : 1% sodium hypochlorite, 2% glutaraldehyde, 10% formaldehyde, 55℃에서 30분 이상 가열, 121℃에서 15분 이상 고압증기멸균, 자외선 조사, 감마선 조사
- 숙주 외 환경저항성: 건조한 환경에서 생존할 수 없으며, 숙주 밖 혈액 검체에서 2주 정도 생존 가능
- 폐기물 처리:감염성물질을 취급한 모든 폐기물은 고압증기멸균 등의 처리 후 의료폐기물로 처리
